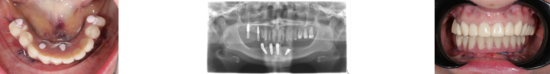
Протезирование
«Все на четырех».
Преимущества
технологии протезирования All-on-4( все на
четырех)
1. несъемный протез
фиксируется на 4х имплантатах;
2. подходит для
протезирования любой челюсти;
3. сроки лечения до 7
дней.
Показания для
применения технологии All-on-4
1. Полная потеря зубов
или необходимость удаления некоторого
количества зубов по причине заболевания,
в результате чего на челюсти не останется
зубов.
2. Вариант протезирования
при атрофии костной ткани в области
утраченных зубов.
3. Все случаи, когда
пациент по каким-либо причинам не может
пройти процедуру наращивания объема
костной ткани.
Резюмируя вышесказанное,
методика All-on-4 позволяет получить быстрый
результат протезирования, отказаться
от костной пластики и получить конструкцию
с высоким показателем стабильности.
Лечение пациента по
методике All-on-4 проводится врачом
стоматологом ортопедом и врачом хирургом.
Для трехмерного планирования и
моделирования любого, отдельно взятого
случая лечения, применяется современная
компьютерная технология, создается 3D
визуализация каждого этапа лечения.
Это позволяет минимизировать погрешность
и ошибки в работе. При помощи 3D программы,
создается индивидуальный хирургический
шаблон, который позволяет планировать
и точно установить имплантаты в кость.
Для методики All-on-4
используются специальные имплантаты,
которые могут быть нагружены немедленно
ортопедической конструкцией. На верхней
челюсти при атрофии костной ткани могут
быть использованы скуловые имплантаты
- Zygoma. Использование скуловых имплантатов
дает возможность не выполнять операцию
синуслифтинга. Скуловая кость стабильна,
не атрофируется и не подвержена
воспалительным процессам.
При помощи 3D моделирования,
конструкция для немедленной нагрузки
изготавливается до операции. Протез
можно установить в день операции или в
течении недели после нее. Временный
протезный аппарат с облегченными
искусственными коронками, с встроенной
внутренней жесткой конструкцией
стабилизирует имплантаты.
Немедленная нагрузка
важна для процесса остеоинтеграции чем
раньше кость будет получать нагрузку,
тем быстрее приживутся имплантаты.
Временный протез накладывается сроком
до 6 месяцев. Далее идет замена на
постоянную конструкцию.
В результате лечения
с применением методики All-on-4 пациент
получает восстановление функции жевания
и эстетики.
Уход за полостью рта
при наличии конструкции All-on-4, стандартный
регулярная чистка не реже двух раз в
день зубной щеткой с пастой и использование
ирригатора.
Посещение стоматолога
с целью наблюдения и контроля не реже
2х раз в год.
Пациент А
Пациент В

Виниры
Виниры — тончайшие керамические пластинки, способные восстановить красоту улыбки или воссоздать ее впервые. Данный способ подразумевает фиксацию пластинок на видимую часть зуба. Ортопедические виниры изготовливаются из дисиликата лития методом прессования (e.max Press) или фрезерования из блоков (e.max CAD), что позволяет сочетать в себе прочность, функциональность и эстетику естественного зуба.
Благодаря данным технологиям белоснежная улыбка больше не является уделом голливудских звезд, теперь каждый может улыбаться и быть уверенным что его улыбка — повод для восхищения.
Данный способ лечения может применяться как отдельно, так и быть этапом сложного комплексного лечения.
С помощью виниров можно корректировать форму, цвет, размер зубов, скрыть неэстетичные пломбы или пятна на зубах. Сначала проводится этап планирования — доктор обсуждает с Вами все вопросы о вашей улыбке, оценивает исходную ситуацию и предлагает варианты, возможные для решения Вашей проблемы. Далее, чтобы понимать как будут выглядеть зубы после лечения, доктор снимает слепки или проводит сканирование полости рта и к следующему визиту будут готовы макеты преображенных зубов, что позволяет уточнить все тонкости относительно формы, размера и цвета для максимального эстетического результата.
Показания для изготовления виниров:
• Неудовлетворительный цвет зубов
• Недостаточная длина зубов
• Промежутки между зубами
• Клиновидые дефекты эмали
• Стирание зубов
Для установки виниров зубы необходимо подготовить, обточить, снять слепок или провести сканирование зубов, изготовить виниры в лаборатории, зафиксировать в полости рта. На период изготовления виниров ну зубы изготавливаются временные накладки.

Культевая вкладка
Это ортопедическая конструкция, которая устанавливает при сохранении корня зуба или наличии тонких стенок зуба, т. е. если коронку зафиксировать не на чем.
Состоит из корневой части — штифт который фиксируется в корневой канал зуба, и коронковой части — наружная часть в виде отпрепарированного зуба на которую фиксируется искусственная коронка.
Для изготовления культевой вкладки должен быть достаточный объем тканей зуба, чтобы в дальнейшем не произошла трещина и перелом корня зуба.
Для изготовления культевой вкладки врач подготавливает корневой канал на нужную длину и форму, снимает слепок, на модели в лаборатории техник изготавливает культевую вкладку в нужных параметрах, после чего врач фиксирует ее в полости рта.

Коронки
Ортопедические конструкции, которые восстанавливают коронковую (наддесневую) часть зуба. Используются для восстановления биомеханической функции зуба
1. Литые коронки: Изготавливаются методом литья из сплавов металлов, обеспечивающих максимальное приближение к характеристикам натуральной эмали:
• прочность
• биологическая совместимость
• устойчивость к истиранию
• надежность
В настоящее время в Стоматологической поликлинике №1 изготавливают следующие виды литых коронок:
◦ металлические
◦ с облицовкой (металлокерамические)
◦ комбинированные


Преимущества литых конструкций, благодаря которым они пользуются заслуженной популярностью:
• прочность
• анатомическая форма
• простота
• доступная цена
• небольшой объем препарирования зуба
Литые конструкции изготавливаются по индивидуально полученным слепкам, что позволяет получить оптимальные показатели, проводятся примерки, на которых устраняются недочеты, что позволяет привыкнуть к конструкция в кратчайшие сроки. Возможность использовать керамическую облицовку позволяет подобрать оттенок похожий на эмаль зуба, что дает возможность буквально с первых минут забыть о необходимости прикрывать рот во время смеха, улыбки и разговора.
2. CAD/CAM коронки — изготовленные с помощью современных цифровых технологий
CAD/CAM (ComputerAssistedDesign/ComputerAidedManufacturing — Компьютерное проектирование/Автоматизированное производство) – методика создания зубных протезов, подразумевающая использование 3D-моделирования в процессе проектировки и их автоматизированное изготовление, что позволяет свести к минимуму воздействие человеческого фактора и получить высокоточные протезы. Такие показатели невозможно получить при ручном литье. Так же сокращается время изготовления таких конструкций.
Виды CAD/CAM коронок, изготавливаемых в Стоматологической Поликлинике №1
1. металлические
2. металлокерамические
3. коронки из диоксида циркония:
◦ в полную анатомию
◦ с нанесением массы.
3. Временные (пластмассовые) коронки
4. Безметалловая керамика (коронки из дисиликата лития)
5. Коронки на имплант
◦ Временные коронка на имплант
◦ Металлокерамическая коронка на имплант
◦ Коронка из диоксида циркония на имплант
Преимущества CAD/CAM технологий:
• точность
• скорость изготовления
К недостаткам данной методики можно отнести только стоимость.
Этапы изготовления протезов по методики CAD/CAM подразумевает:
• подготовку зуба
• снятие слепка или внутриротовое сканирование для получения 3D модели челюстей и зубов
• моделирование будущей конструкции на компьютере, изготавливается цифровой прототип.
• программирование процесса изготовления с помощью программного обеспечения компьютера
• изготовление протеза с помощью автоматизированного производства — фрезерование или слективное лазерное плавление
• примерка конструкции в полости рта
• фиксация конструкции после корректировки

CAD/CAM технологии прочно закрепились в современной стоматологии, которые позволяют получить оптимальную конструкцию, которая будет отвечать необходимым требованиям и задачам — эстетическим и функциональным.
Металлокерамическая коронка


Одна из самых популярных и востребованных ортопедических конструкций. Устроена очень просто — металлический каркас на который наносят керамическую массу, обрабатывают определенным образом чтобы получить прочный и устойчивый к повреждениям слой похожий по цвету зуба. Может быть использована для восстановления одного или нескольких разрушенных зубов, в т.ч. в качестве мостовидного протеза.
Показания к использованию
Восстановление или замена разрушенного зуба. Может быть использована при восстановлении фронтальных зубов, но не всех устраивает эстетический результат, так как через керамический слой может просвечивать металлическая основа.
Металлокерамические коронки могут быть изготовлены на основе драгоценных сплавов (золота и серебра) для обеспечения биосовместимости, а вот коронки на основе недрагоценных металлов (на основе хрома или никеля) могут окислятся под воздействием слюны и компонентов пищи, вызывать реакцию гиперчувствительности. Это проявляется отеком слизистой, жжением языка.
Металлокерамическая коронка — это высокая прочность, достаточная эстетичность.
Коронка из диоксида циркония
Диоксид циркония — высокоэстетичный и высокопрочный материал. Коронки на его основе по внешнему виду практически неотличимы от эмали своих зубов, по сравнению с классическими металлокерамическими коронками. Это особенно важно в тех случаях когда необходимо восстановить фронтальную группу зубов.
Коронки из диоксида циркония изготавливаются методом фрезерования, что позволяет получить максимально точное прилегание коронки к естественному зубу, а следовательно получить более долговечный результат.
Коронки из диоксида цикрония бывают нескольких видов
• цельноциркониевые — в основном используются в жевательном отделе, восстанавливают форму, цвет разрушенного зуба
• с редукцией или с нанесением керамической массы — на каркас из диоксида циркония наносят керамический слой для посторения многослойной структуры естественного зуба. Это позволяет получить подобие настоящего зуба.


Основные приемущества коронок из диоксида циркония
• эстетика
• прочность
• точность
• наименьший объем препарирования, так ка кне нужно много места для маскировки металлического каркаса
• биосовместимость и безопасность — менее выраженная реакция десны на коронку, циркония не провоцирует аллергических реакций, в отличии от металлов и полностью совместим с человеческими тканями
Временные коронки (пластмассовые)
Важный этап лечения — временные конструкции, в частности временные коронки.
Временные коронки решают несколько задач:
• Формирование мягких тканей вокруг коронки
• Ограничивает смещение зубов
• Не допускает смещения прикуса
• Защищает зуб от внешних факторов
• Нейтрализует возможные дефекты речи, связанные с отсутствием зубов
• Дает возможность привыкнуть к инородному телу.

Изготавливаются на период пока не будут сделаны постоянные коронки. Делаются техником в лаборатории на модели(непрямой метод), либо врачом в кресле по предварительной моделировке (прямой метод). Такие коронки фиксируются на временный фиксирующий цемент, что позволяет снимать их в промежуточные этапы лечения и фиксировать обратно пока не будут готовы постоянные конструкции.
Безметалловая керамика

Современное направление в протезировании зубов, технология была придумана в конце прошлого века, которая сейчас стала активно использоваться врачами. Такие зубные протезы не содержат металла, изготовлены на основе дисиликата лития, а значит выглядят эстетитично, восстанавливая цвет и оптические свойства зуба. Изделия, не содержащие металлов, отличаются прочностью и долговечностью, гипоаллергенны. Благодаря им можно скрыть дефекты тканей зуба, изменить цвет, форму зуба. Подобные конструкции используются при диагностировании аллергии на металл и нежелание использовать конструкции на основе металла.

Обладают преимуществами:
• Придают естественный вид
• Гипоаллергенны, биосовместимы и безопасны
• Долговечны и прочны
• Не окисляются, не окрашиваются, устойчивы к температурным режимам
• Исключают проблемы, связанные с использованием металлических конструкций
Коронки на имплантат


Протезирование на имплантах — полное восстановление красоты и функциональности зуба.
Это самый современный и очень естественный способ восстановления утраченных зубов, предотвращают атрофию костной ткани челюсти. Эстетический результат при этот выше чем , при другом способе протезирования зубов.
Протезирование на имплантах заключается в том, что коронки или протезы фиксируются на вживленные в челюсти титановые импланты. При этом сроки протезирования зависят от того какая методика имплантации проводилась.
На имплантаты можно делать любые виды коронок — от пластмассовых (в качестве временных) до циркониевых, которые обладают лучшими эстетическими, прочностными и биологическими свойствами.

Протезы
1. Съемные протезы
• акриловый частичный съемный протез
• акриловый полный съемный протез
• съемный протез из термопласта
2. Бюгельный съемный протез
◦ кламмерный
◦ замковый
3. Ацеталовый съемный протез
4. Протез на имлантах
◦ Условно-съемный протез на имплантах
◦ Балочный протез на имплантах
◦ Мостовидный протез на имплантах
Капа
Все чаще и чаще обращаются с мышечными дисфункциями и дисфункциями височно-нижнечелюстных суставов. На сегодняшний день, эффективным способом решения данных патологий является изготовление каппы — сплинт диагностика, позволяющая изменить положение нижней челюсти для коррекции мышечного тонуса и позиции сустава, с целью дальнейшего лечения(ортопедического, ортодонтического или комплексного)
Капа или сплинт представляет собой плстинку, которая одевается на зубной ряд челюсти (как правило нижней)
Показания для сплинт-диагностики
• Щелчки и хрусты в области сустава при разговоре и жевании
• Боли в области ВНЧС
• Повышенная стираемость зубов
• Подготовка к ортодонтическому лечению
• Ограничение открывания рта
• Шум в ушах

Каппы или сплинты существуют разных видов, в зависимости от клинической ситуации
• Релаксирующие
• Позиционирующие
• Стабилизирующие
• Комбинированные
Для изготовления сплинта небоходимо провести тщательную предварительную диагностику(осмотр, анамнез, пальпация, МРТ ВНЧС, КТ, фотопротокол, аксиография,) после чего врач пытается найти лечебное положение при помощи различных методик. Следующим шагом информация отправляется в лабораторию, где и происходит фрезерование капы из прозрачной пластмассы, которую получает доктор для примерки в полости рта.